MENÜ
 03338 / 709891  info@kardiologie-bernau.de


Leistungsspektrum

← zurück zur Übersicht

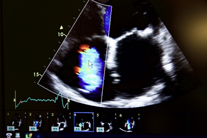
Echokardiographie (TTE)

Die Echokardiographie oder Herz - Ultraschalluntersuchung wird bei uns nach den neuesten technischen Standards durchgeführt. Die Untersuchung dient zur Beurteilung der Herzfunktion und der Größe der einzelnen Herzkammern sowie der Funktion der Herzklappen.



← zurück zur Übersicht



↑ nach oben  •   Impressum  •   Datenschutz
Startseite
Ärzte & Team
Leistungsspektrum
Praxis & Anfahrt
Kontakt
     
Startseite
Ärzte & Team
Leistungsspektrum
Praxis & Anfahrt
Kontakt
Impressum
Datenschutz
 
03338 / 709891